陳旧性肩鎖関節脱臼に対する具体的な事例
陳旧性肩鎖関節脱臼に対する具体的な事例を提示いたします。
この方は10年以上前に肩鎖関節脱臼を患いました。しかし、当時は鎖骨遠位端切除術(鎖骨の端を1cmほど切除する手術)をうけられました。
20年以上たち肩はしくしくはするがさほど日常生活で困らないとのことでした。しかし、次第に肩に症状が生活やスポーツ活動に支障があるほどの症状が現れて2018年に当院にこられました。右肩鎖関節は転位をしており、肩の挙上時に痛みがある、頸部から肩、肩甲骨に周囲に痛みやつっぱりがあると初診時にはおっしゃられました。
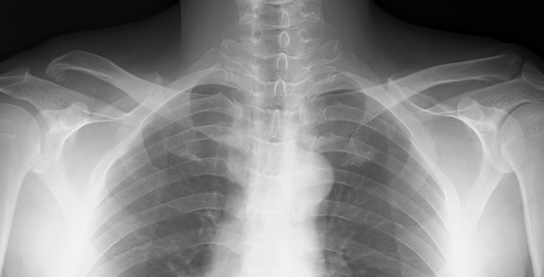
当院にこられた際のレントゲンです。

この方には膝の腱を移植した再建術を施行しました。
リハビリをして術後1年で、京都から引っ越しをされました。経過がよくて、お子さんとキャッチボールも痛みなくできるようになったとおっしゃってました。
その後術後2年で来院をされ、ふたたびレントゲンを撮影しました。
術後2年のレントゲンが下の写真です。

右鎖骨の形は左と違うのは受傷から20年以上たっているために変形がすすんでおりました。手術の際には変形している関節には操作はしないで、靱帯移植と金属ボタンを設置する方法だけをほどこしました。経過良好ですと力強くおっしゃってました。
まとめ
陳旧性肩鎖関節脱臼の受傷後20年たった症例に本術式を施した事例を提示しました。
脱臼の残っている肩鎖関節由来の肩の痛みが、本術式で軽快する可能性が大いにあることをお伝えしました。
またこの術式は
別冊整形外科1巻77号 『陳旧性肩鎖関節脱臼に対する半腱様筋を用いた烏口鎖骨靭帯の治療成績』という術式で発表しています。
https://webview.isho.jp/journal/detail/pdf/10.15106/j_besei77_46