-2 Clinical case of chronic acromioclavicular dislocations
Clinical case:
This patient had an acromioclavicular dislocation more than 10 years ago, and he had a Mumford surgery to remove the end of the clavicle to create more space between the bone and rotator cuff.
A slight shoulder pain started 20 years ago but nothing more than that. However, the symptoms became obvious, and he gradually felt difficulties in sports and his daily life.
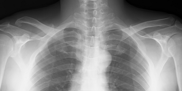
This X-ray was taken when he first came to my clinic in 2018. This shows dislocations of the right acromioclavicular. He also had pains on the shoulder when raising arms. In addition, he felt stiffness and discomfort on the neck, shoulder, and scapular.
This patient had a coracoclavicular ligament reconstruction using autologous knee tendons.
He went through physical therapies for a year, fortunately, his postoperative course was positive. Now he can play with children throwing balls without pains.
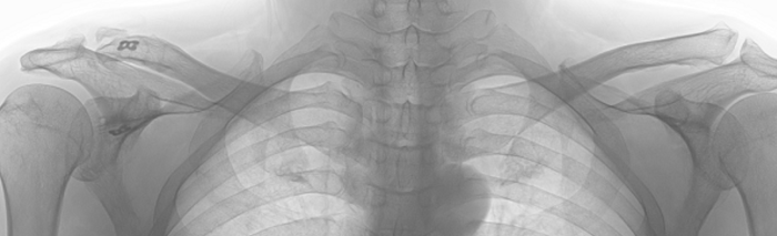
The following X-ray is taken 2 years after the operation.
It is clearly seen that the right acromioclavicular is deformed as it took 20 years since the initial dislocation happened. I only performed to clamp the two joints with autograft ligaments and metal end-buttons as the deformation has been already progressed at the time of surgery.
The patient was satisfied with the outcomes.
Summery:
- Application of Coracoclavicular ligament reconstruction using autologous semitendinosus tendons to the patient with chronic acromioclavicular dislocations for 20 years
- Potential treatment to greatly relieve pains due to dislocations for a long period of time
For further information, our team has published the results in the magazine called “Orthopaedic surgery No.77” in April 2020, Nankodo.
The title is “Coracoclavicular Ligament Reconstruction Using Semitendinosus tendon Graft Augmentation and Titanium Implants for Chronic Acromioclavicular Joint Dislocations”.
https://webview.isho.jp/journal/detail/pdf/10.15106/j_besei77_46
Shoulder Diseases
We provide explanations for various shoulder conditions. Please use this as a general guide to determine which condition may apply to you.
- Common shoulder injuries by age group
- To those who neither have frozen shoulder nor rotator cuff tears
- Throwing Shoulder Disorder
- Rotator Cuff Tears and Rotator Cuff Injuries
- Recurrent Shoulder Dislocation
- Frozen Shoulder
- Shoulder Dislocation
- Acromioclavicular Joint Dislocation
- Chronic Acromioclavicular Joint Dislocation
- Frozen Shoulder
- Calcific Tendinitis of the Rotator Cuff
- Primary Degenerative Shoulder Arthritis
- Rotator Cuff Tear-related Degenerative Shoulder Arthritis
- Non-traumatic Shoulder Instability
- Biceps Tendon Injuries
- Surgical Trends for Throwing Shoulder in Baseball Players